CASE
症例紹介
カテゴリー:
インプラント口腔外科審美歯科
前歯部インプラント

Before

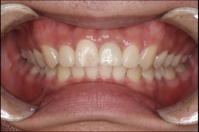
After
| 主訴 | 折れてしまった歯を治したい |
|---|---|
| 診断名 | 歯冠・歯根破折 |
| 年齢・性別 | 20代・男性 |
| 治療期間・回数 | 1年(矯正治療も併用) |
| 治療方法 | インプラントによる前歯部補綴 マウスピース矯正による叢生解除 |
| 費用 | 約80万 |
| デメリット・注意点 | 治療期間が必要、外科処置が必要 |
| 備考 | 抜歯とインプラント埋入を同時に行うことで治療期間を短縮している |
治療詳細

初診時口腔内
外傷により前歯が破折
前医により応急処置が施されているが保存不可能な状態

術前口腔内
左上1番目の歯が折れている様子がわかる

術中写真(抜歯即時インプラント)
破折片の抜去とインプラント埋入を同時に行なっている

プロビジョナル(仮の歯)
インプラントと骨とが安定した段階で仮の歯を立ち上げている
矯正により歯並びの改善も行われている

術後口腔内
最終的な上部構造を装着して治療終了
