Concept
皆様が頼れる通いやすい歯科医院へ
外堀通歯科クリニックとして名古屋市中村区の地域の方々に支えられました当院は、
2023年7月より「クラウン歯科名古屋中村院」としてリニューアルオープンしました。
当院では、一人ひとりに寄り添うことを大切にしています。口腔内の状況は患者様ごとに異なります。
そのため、どんな治療も口腔内の状況や症状をしっかり確認して、それぞれの治療方法をご提案させていただきます。
また、痛みのある歯一本だけでなく、お口全体のバランスを見た全顎治療を提供します。
患者様が末永く通えるよう、本陣駅近くの立地で平日は夜20時まで診療を行っています。
お困りの際にはぜひ当院に一度ご相談ください。



Featuers
当院の特徴
Implant
自分の歯のような
噛み心地
歯を失った際、当院ではインプラント治療をお勧めしています。インプラントは治療時は健康な両隣の歯を削る必要がなく、治療後も他の歯への負担はほとんどありません。それどころか失った歯の代わりにしっかりと噛む機能を取り戻します。歯はすべて役割を分担をしています。一本歯がなくなるだけで放っておくと他の歯へ悪影響を及ぼしてしまいます。インプラント治療にご不安や迷いがある方でもまずはお問い合わせください。しっかりカウンセリングを行わせていただきます。
Orthodontics
自信が持てる
歯並びへ
歯並びが気になる方は是非ご相談ください。当院では、矯正歯科治療を専門とする歯科医師の診断のもと、ワイヤー矯正だけでなく、目立ちにくい透明のマウスピース矯正も提供いたします。歯並びが改善すると審美的なメリットだけでなく口腔機能へも好影響があります。ずっと健康にご自分の歯を保つためにも気になった今、矯正歯科治療を始めませんか?
Fullmouth
お口全体を考えた
総合治療
お口にお悩みを抱えている方に、お口全体を考えた総合治療をおすすめします。全顎治療はフルマウス治療と呼ばれ、歯だけでなく、歯茎や咬合などお口全体をトータルに見た治療をします。問題のある歯一本だけを治療せず、総合的に取り組むことでより良い結果が得られます。当院と一緒にお口の悩みを解決して、美しく健康な歯を手に入れましょう。
Greeting
ドクターからのご挨拶
歯でお困りの方は健康なお口、健康な身体を手に入れられるように。健康な方はずっと安心して過ごせるように。
お口のことで悩むことなく、毎日が笑顔でいられるように、当院では患者様に寄り添う歯科医療を提供できるよう尽力いたします。
いつでもお気軽にお越しください。
Q&A
よくある質問
-
Q
初めて受診する時は、どのような流れですか?
-
A
まずはお口の状態を正確に把握するため、口腔内写真やレントゲンなどの資料を撮影させていただきます。
その資料をもとに歯科医師が適切な診査・診断を行い、症状やご希望をお伺いしながら、最適な治療・メンテナンスの計画を立てます。
患者様一人ひとりに寄り添い、安心して治療を受けていただけるよう努めております。
持ち物や詳しい情報は、こちらをご覧ください。 -
Q
在籍しているドクターについて教えてください。
-
A
各種認定医や歯学博士などそれぞれ専門性を持ったドクターも在籍しております。治療内容によって専門性の高いドクターが治療に当たらせていただきます。女医も在籍しております。ご希望のドクターがいらっしゃいましたらご予約の際にお申し付けください。
https://www.sotoboridorishika.jp/staff/ -
Q
お支払方法について教えてください
-
A
現金・各種クレジットカード・院内分割(条件あり)・デンタルローンがございます。
-
Q
歯がボロボロですが見てもらえますか?
-
A
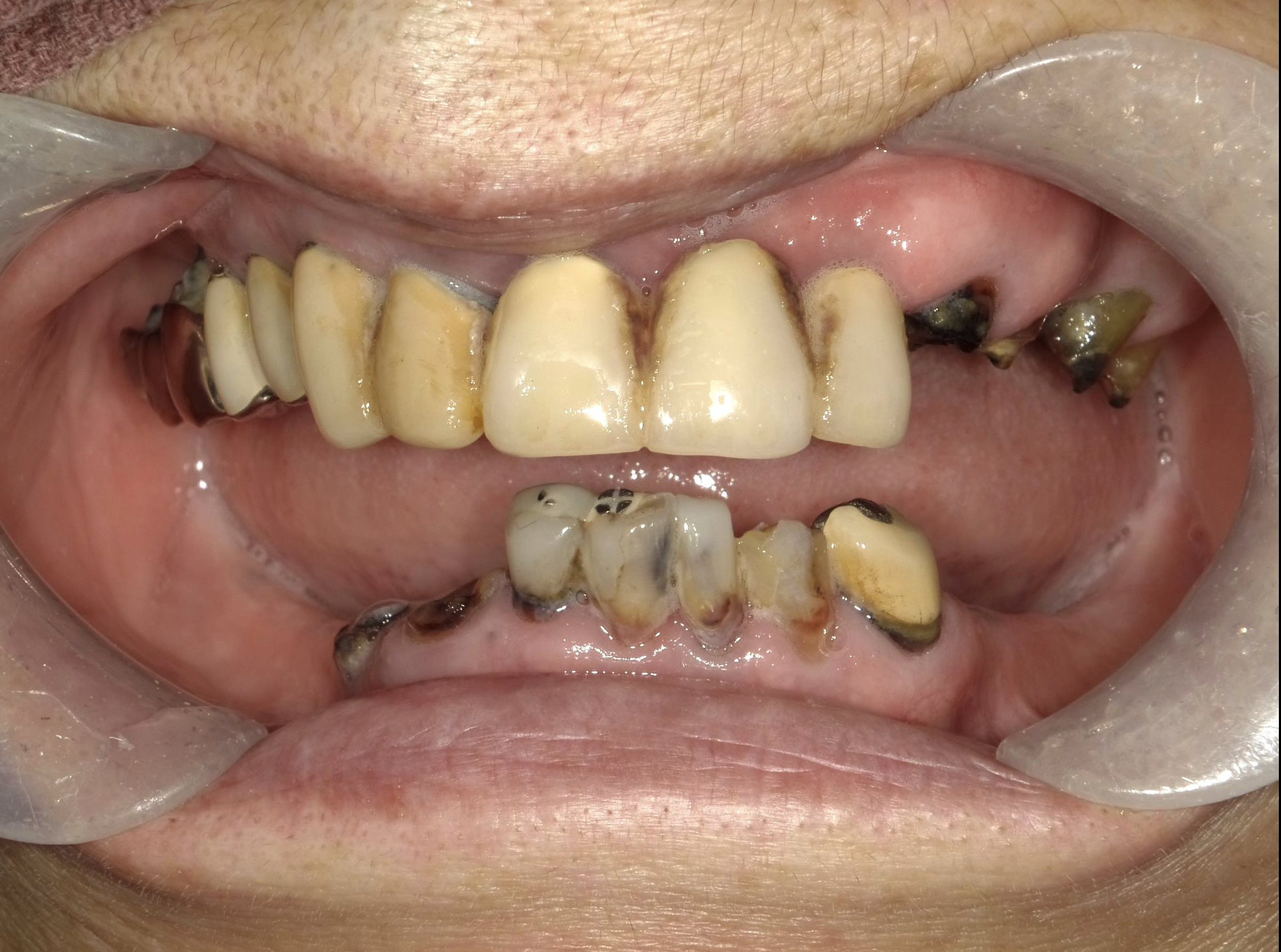
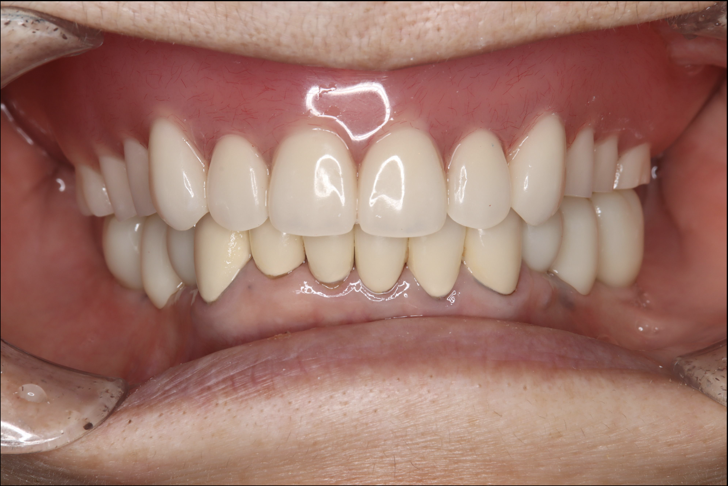
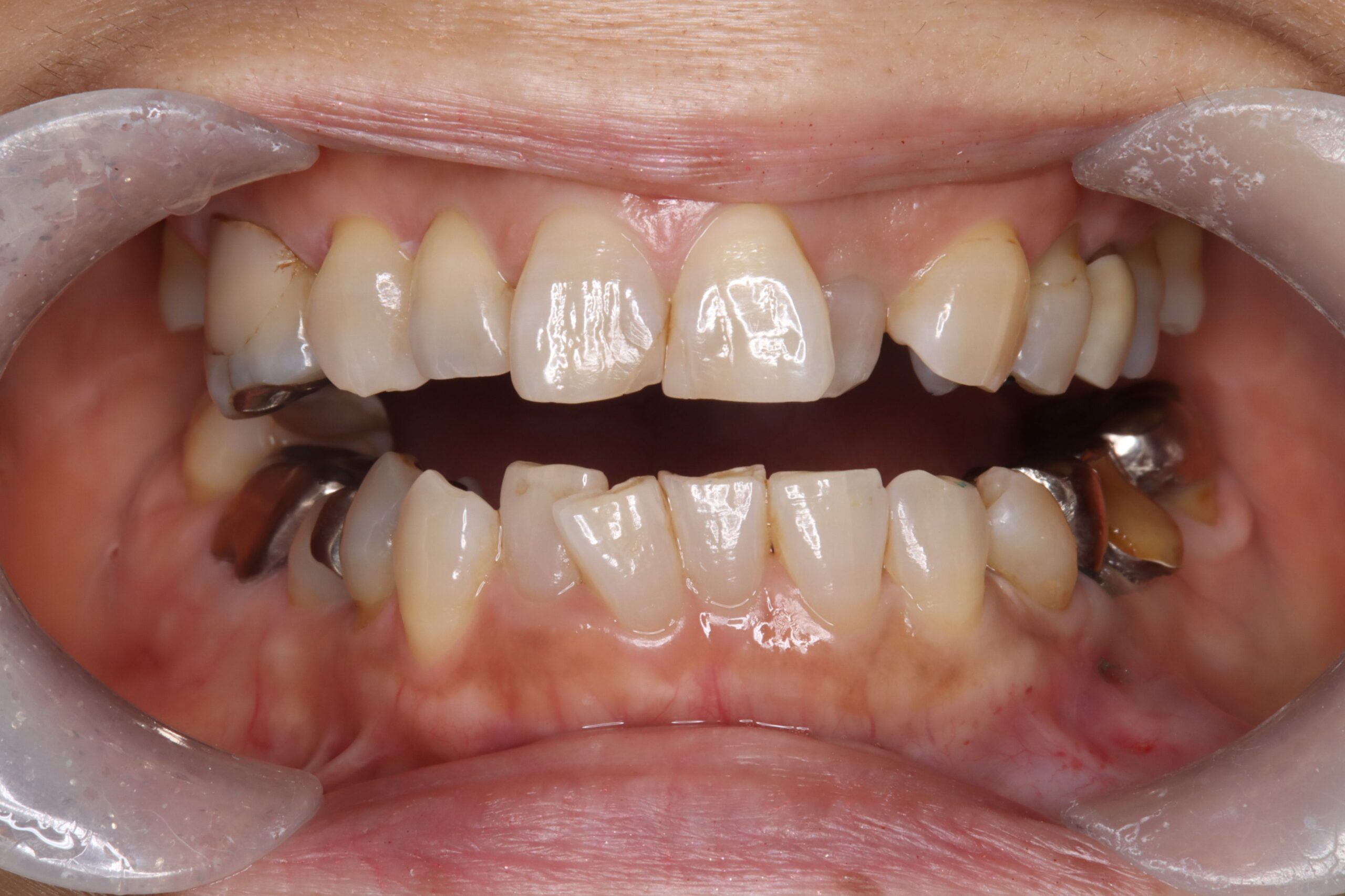
当院では長年の放置により口腔内がボロボロになってしまった方など様々なお悩みをお持ちの方でも対応可能です。その人にあった治療方法をご提案させていただきます。
ボロボロの口腔内から改善をされた方の症例がございますので症例集をご覧ください。
https://www.sotoboridorishika.jp/case/ -
Q
骨が足りないとインプラントを他院で断られたのですが、対応可能ですか?
-
A
はい、当院では骨造成(こつぞうせい)による対応が可能です。インプラント症例実績○○本以上の経験豊富なドクターが在籍しており、骨の量や質に不安がある方にも、状態に合わせた治療方法や選択肢をご提案いたします。
他院で難しいと言われた方も、ぜひ一度ご相談ください。
インプラントについて詳しくは、こちらをご覧ください。 -
Q
歯科医院とホワイトニングサロンの違いは何ですか?
-
A
ホワイトニングサロンでは、歯の表面に付着した着色(ステイン)を落とし、もともとの歯の白さに近づけることを目的としています。
一方、歯科医院で行うホワイトニングは、医療機関でしか使用できない薬剤を用いて、歯の内側から白くすることができます。
そのため、より効果的で持続性の高いホワイトニングが可能です。
また、歯科医院では詰め物や被せ物の色を周囲の歯と合わせるなど、口腔内の状態に合わせたトータルな色調整も行うことができます。
ホワイトニングについて詳しくは、こちらをご覧ください。




























