CASE
症例紹介
カテゴリー:
インプラント全顎治療口腔外科審美歯科
フルマウス治療(骨造成、歯肉造成、インプラント、補綴)

Before

After
| 主訴 | ボロボロになってしまった歯を治したい |
|---|---|
| 診断名 | C4、歯根破折 |
| 年齢・性別 | 30代・女性 |
| 治療期間・回数 | 8ヶ月 |
| 治療方法 | 骨造成、歯肉造成、インプラント、補綴 |
| 費用 | 230万 |
| デメリット・注意点 | 治療期間が必要、外科処置が必要 |
治療詳細

初診時口腔内
虫歯・歯周病の進行が著しく、審美障害を呈している

左上2番 歯肉造成
崩壊した左上2番目の歯を抜歯し、まずは歯肉のボリュームを確保した。
審美を確保するため仮の歯を装着している。
後にインプラント補綴を行う計画としている。

抜歯即時インプラント
虫歯で崩壊した歯を抜歯し、同時にインプラント埋入術を行なった。
この事により治療期間の短縮ができている。

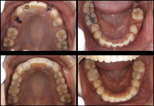
咬合面観 術前・術後比較
右上5番4番、左上2番5番、右下5番はインプラント補綴
右上2番はジルコニアクラウン補綴

術後口腔内
治療終了時。
審美的な状態を確保できている。

