CASE
症例紹介
カテゴリー:
口腔外科
智歯抜歯(親知らず抜歯)

Before

After
| 主訴 | 親知らずを抜歯したい |
|---|---|
| 診断名 | 下顎埋伏智歯 |
| 年齢・性別 | 20代・女性 |
| 治療期間・回数 | 1回 (抜糸も含むと2回) |
| 治療方法 | 歯肉弁剥離下での埋伏抜歯 |
| 費用 | 保険治療に準じる |
| デメリット・注意点 | 外科的侵襲を伴う |
治療詳細

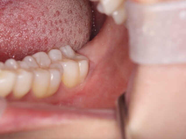
術前
左下第一大臼歯(6番目の歯)、第二大臼歯(7番目の歯)が並んでいる様子。
親知らず(8番目の歯)は見えていない。

パノラマレントゲン
親知らずが埋まっている様子がわかる

歯肉弁剥離
歯肉を切開、剥離すると親知らずの頭が見える

抜歯
親知らずを抜歯した状態

縫合
剥離した歯肉弁を縫合した状態

術後2ヶ月
歯肉が綺麗に治っている
