CASE
症例紹介
カテゴリー:
口腔外科
骨隆起切除術(下顎骨隆起形成術)

Before

After
| 主訴 | 骨が出っ張っている部分に汚れが溜まる |
|---|---|
| 診断名 | 下顎骨隆起 (病名としては歯槽骨鋭縁となる) |
| 年齢・性別 | 20代・女性 |
| 治療期間・回数 | 両側の手術で2回(片側で1回) |
| 治療方法 | 歯肉弁剥離下での歯槽骨整形 |
| 費用 | 保険治療に準じる |
| デメリット・注意点 | 外科的侵襲を伴う |
| 備考 | 骨隆起自体は生活や義歯治療の支障でなければ、必ずしも切除が必要なものではない |
治療詳細

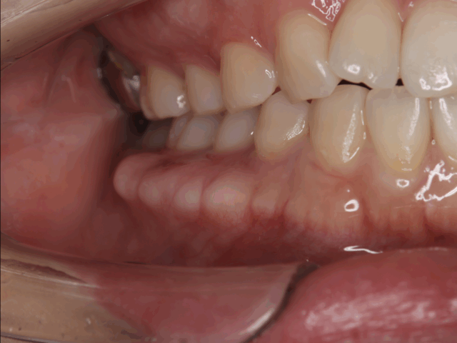
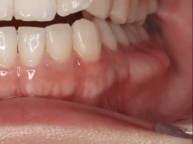
術前
下顎の頬側に大きな骨の隆起を認める

右側術前
骨が凸状の形態を呈している

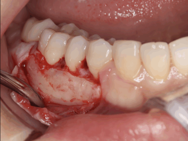
右側術中①
歯肉を剥離し、骨隆起を明示した状態

右側術中②
骨隆起を削合し、望ましい骨の形態としている

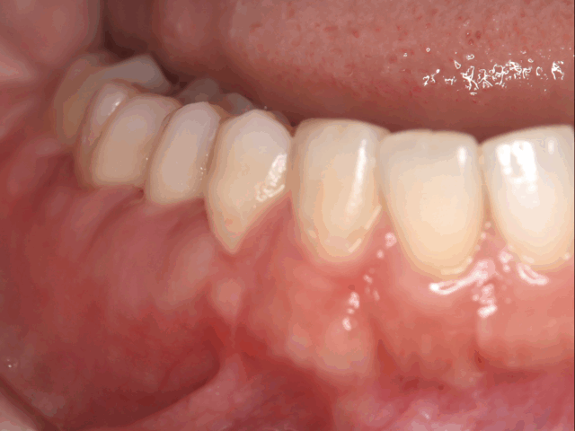
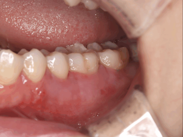
右側術後
なだらかな形態となっている

右側術後(左側術前)
左右で骨の形態が異なっている

左側術前
右側と同じく骨が凸状の形態を呈している

左側術中①
歯肉を剥離し、骨隆起を明示した状態

左側術中②
骨隆起を削合し、望ましい骨の形態としている

左側処置完了
なだらかな形態となっている

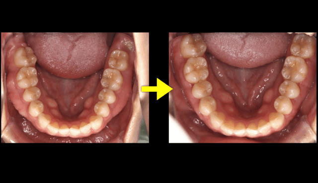
上から見た術前(左)術後(右)の下顎
凸状の骨がなくっていることがわかる

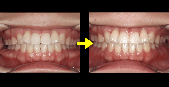
正面から見た術前(左)術後(右)
骨の形態がなだらかとなり、清掃しやすい形態となっている
