CASE
症例紹介
カテゴリー:
全顎治療審美歯科矯正歯科
マウスピース矯正(叢生)+被せ物

Before

After
| 主訴 | 歯のガタガタを治したい 歯を綺麗にしたい |
|---|---|
| 診断名 | 叢生 審美障害 |
| 年齢・性別 | 60代・女性 |
| 治療期間・回数 | 矯正で2年 |
| 治療方法 | マウスピース矯正+補綴(被せ物)やりかえ |
| 費用 | 矯正 約90万 補綴 約100万 |
| デメリット・注意点 | 治療期間が長い |
治療詳細

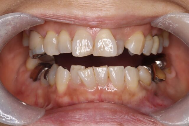
術前口腔内
叢生状態を認める
また不適切な被せ物が多数認められる

マウスピース矯正中
ガタガタがほどけてきている

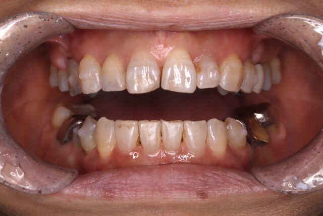
術後口腔内
綺麗な歯並びとなっている
補綴やりかえも行なったことで審美的に大きく改善している

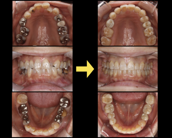
術前・術後 比較
綺麗な歯列が獲得でき、審美的・機能的な状態となった
